Fractured Tooth Treatment Case: 25-Year-Old Male | RCT, Fiber Post, Core & Cap
A 25-year-old male patient reported to our dental clinic with a fractured upper anterior tooth due to trauma. Such injuries not only affect smile aesthetics but also confidence and daily life. In this blog, we share the complete step-by-step treatment process with photographs and explanatory video links, so patients can understand the importance of advanced dental treatment in saving a broken tooth.
POST AND CORE
6/13/20252 min read
Fractured Tooth Treatment Case: 25-Year-Old Male | RCT, Fiber Post, Core & Cap
Introduction
A 25-year-old male patient reported to our dental clinic with a fractured upper anterior tooth due to trauma. Such injuries not only affect smile aesthetics but also confidence and daily life. In this blog, we share the complete step-by-step treatment process with photographs and explanatory video links, so patients can understand the importance of advanced dental treatment in saving a broken tooth.
👉 Watch full case video on YouTube :-
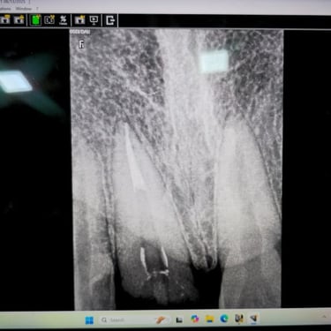
Step 1: Clinical Examination & Diagnosis
The patient’s maxillary anterior tooth (front tooth) was fractured because of trauma. On examination, the pulp was exposed and treatment planning was done for Root Canal Treatment (RCT) followed by a fiber post, core build-up, and crown placement.
Keywords: Fractured tooth treatment, broken front tooth, dental trauma care, dentist in Deoghar, best dental treatment India
Step 2: Root Canal Treatment (RCT)
RCT was performed to remove the infected pulp and save the natural tooth. This step is crucial to prevent future infection, pain, or tooth loss.
👉 Detailed video explanation :- https://youtube.com/shorts/x368vHjTgpc
SEO Keywords: Root Canal Treatment in India, painless RCT, save broken tooth with RCT, best dentist for RCT Deoghar
Step 3: Fiber Post Placement
After successful RCT, a fiber post was placed inside the canal. The fiber post strengthens the tooth internally and provides a solid foundation for the core and crown. Compared to metal posts, fiber posts are aesthetic, biocompatible, and long-lasting.
Step 4: Core Build-Up
A core build-up was done over the fiber post to rebuild the lost tooth structure. This step ensures proper retention and stability for the cap (crown) that will be placed later.
SEO Keywords: Core build-up in dentistry, tooth reconstruction, restore broken front teeth
Step 5: Crown / Cap Placement
Finally, a ceramic cap (crown) was placed to restore the tooth’s shape, function, and smile aesthetics. The patient’s smile was completely rehabilitated, boosting confidence.
Keywords: Dental cap for broken tooth, ceramic crown, smile makeover with crown, fractured anterior tooth treatment
Before & After Photographs
This visual journey helps patients understand the importance of timely dental treatment and how a fractured tooth can be saved.
---
Conclusion
This case demonstrates how a fractured tooth due to trauma can be successfully treated with Root Canal Treatment, fiber post, core build-up, and crown placement. Timely treatment not only saves the natural tooth but also restores function, aesthetics, and confidence.
SEO Tags for Your Blog
fractured tooth treatment
broken front tooth solution
RCT with fiber post
dental crown for anterior teeth
cosmetic dentist in India
smile makeover Deoghar
best dentist in Jharkhand
tooth trauma treatment








