Mesiodens Teeth Removal: Ideal Age & Treatment Guide
Mesiodens teeth removal in children—ideal age, symptoms & treatment in India. See real cases, before-after results & expert guidance.
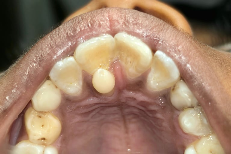
MESIODENS TEETH
Dr NEETU JHUNJHUNWALA ( 20+ Years of Experience )
3/28/20261 min read


🦷 Introduction (With Soft CTA)
Is your child facing delayed front teeth eruption or an extra tooth in between? This could be mesiodens.
Timely treatment is very important to avoid future dental complications.
👉 In this guide, you will not only learn about treatment but also
✔ Real patient transformations
✔ Before–after results
✔ Step-by-step treatment video
📺 Watch real treatment videos on our YouTube channel – Dr Neetu Agarwal
🧠 What is Mesiodens?
Mesiodens is an extra tooth that develops between the upper front teeth.
It can:
Block permanent teeth
Cause spacing or alignment issues
Affect your child’s smile and confidence
⚠️ Symptoms of Mesiodens
Watch for these early signs:
Delay in permanent teeth eruption
Gap between front teeth
Crooked or rotated teeth
Visible extra tooth
📸 Tip: If you notice anything unusual, take a quick photo and consult a dentist early.
⏰ Ideal Age for Mesiodens Teeth Removal
✔️ Best Age: 6–8 Years
Early removal helps:
Natural eruption of permanent teeth
Avoid braces in many cases
Faster healing
❗ Delaying treatment can lead to:
Impacted teeth
Complex orthodontic issues
🦷 Mesiodens Removal Procedure
The procedure is simple and safe:
Done under local anesthesia
Takes 15–30 minutes
Minimal discomfort
👉 Kids recover very quickly compared to adults.
🎥 Watch Real Treatment (High-Trust CTA Section)
Seeing is believing 👇
📺 Watch actual mesiodens removal & dental treatments on our YouTube channel:
👉 Dr Neetu Agarwal
Real patient cases
Step-by-step procedures
Educational dental tips
👉 This helps parents understand the treatment process without fear.
📸 Before & After Results (Conversion Booster)
Nothing builds trust like real results 💯
✔️ What You Can Expect:
Proper alignment of front teeth
Natural eruption after removal
Improved smile aesthetics
📸 We regularly share:
Pre-treatment condition photos
Post-treatment smile results
👉 Ask your dentist to show before–after cases before starting treatment.
💡 Practical Tips for Parents
Do This:
Dental checkup at age 6–7 is must
Don’t ignore delayed teeth
Follow dentist’s advice for X-ray
Avoid This:
Waiting too long
Trying home remedies
Ignoring early signs
📍 Mesiodens Treatment in India (With Local SEO CTA)
India has excellent dental facilities for children.
👩⚕️ Where to Go:
Pediatric dentist
Oral surgeon
Multispeciality clinic
💰 Cost: ₹2,000 – ₹10,000
👉 Search:
“Mesiodens removal near me”
“Best dentist for kids in India”
📞 Book your consultation today for early diagnosis and better results






